I Moduli
Non puoi seguire il corso completo? Acquista il singolo modulo che più ti interessa e porta subito in studio nuove competenze.
Per odontoiatri
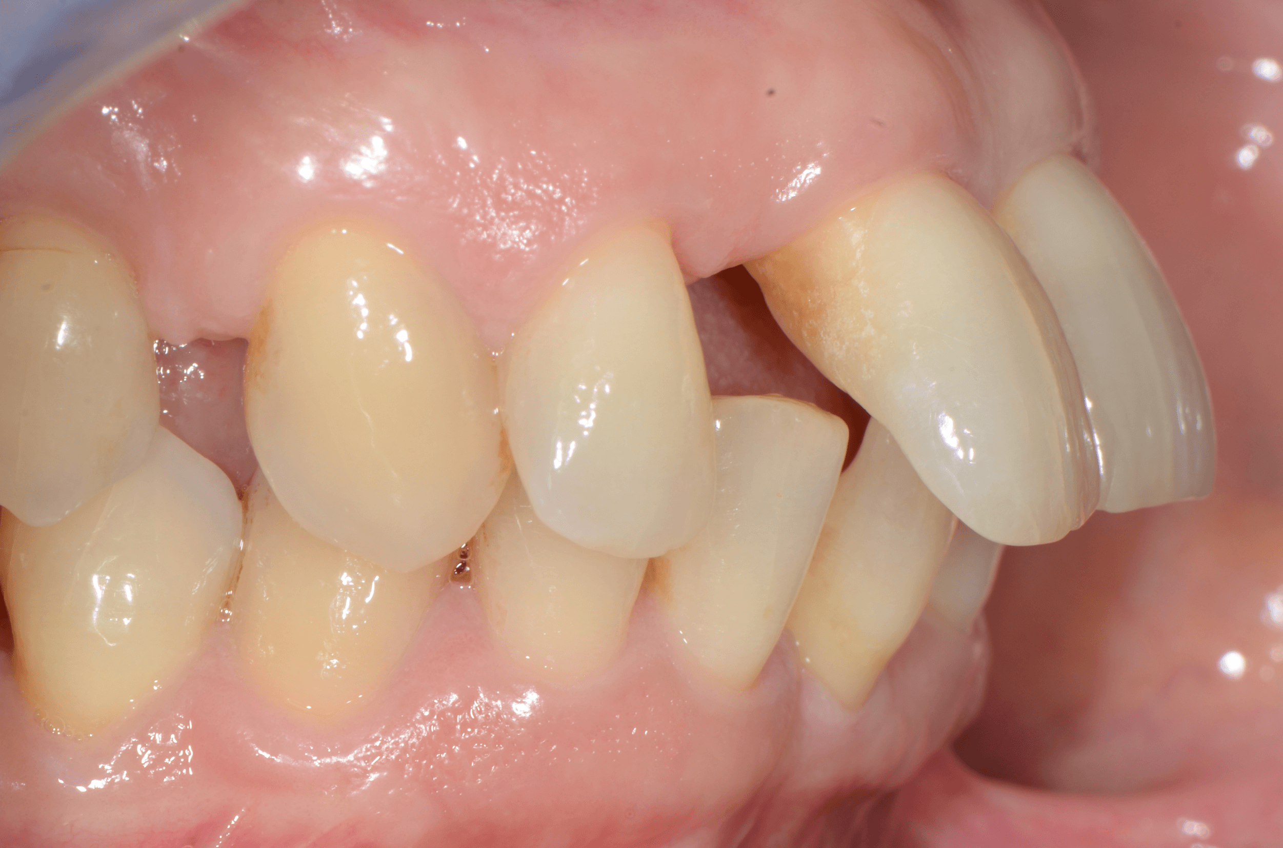
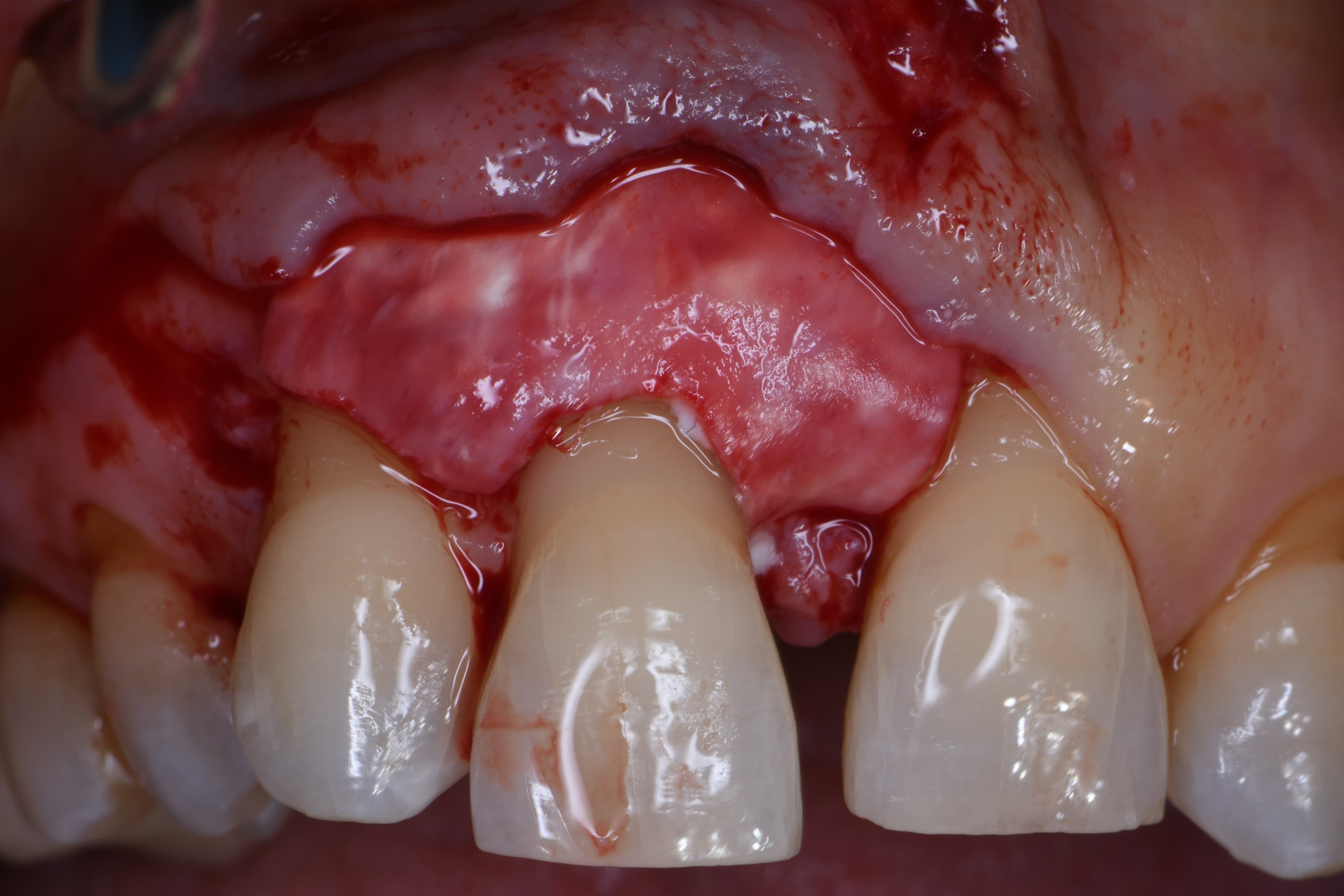
La Correzione Chirurgica del Difetto Parodontale
Indicazioni e tecniche della correzione chirurgica parodontale: chirurgia conservativa, rigenerativa (MIST-SFA-Wall) e resettiva. Gestione completa dei molari forcati con esercitazioni su modellini.
Per odontoiatri e igienisti (opzionale)
Aspetti Riabilitativi Perio-Protesico-Implantari
Ampiezza biologica, perio-protesi, allungamento della corona clinica, utilizzo degli impianti nel paziente parodontale e classificazione delle mucositi e peri-implantiti.

Per odontoiatri e igienisti (opzionale)
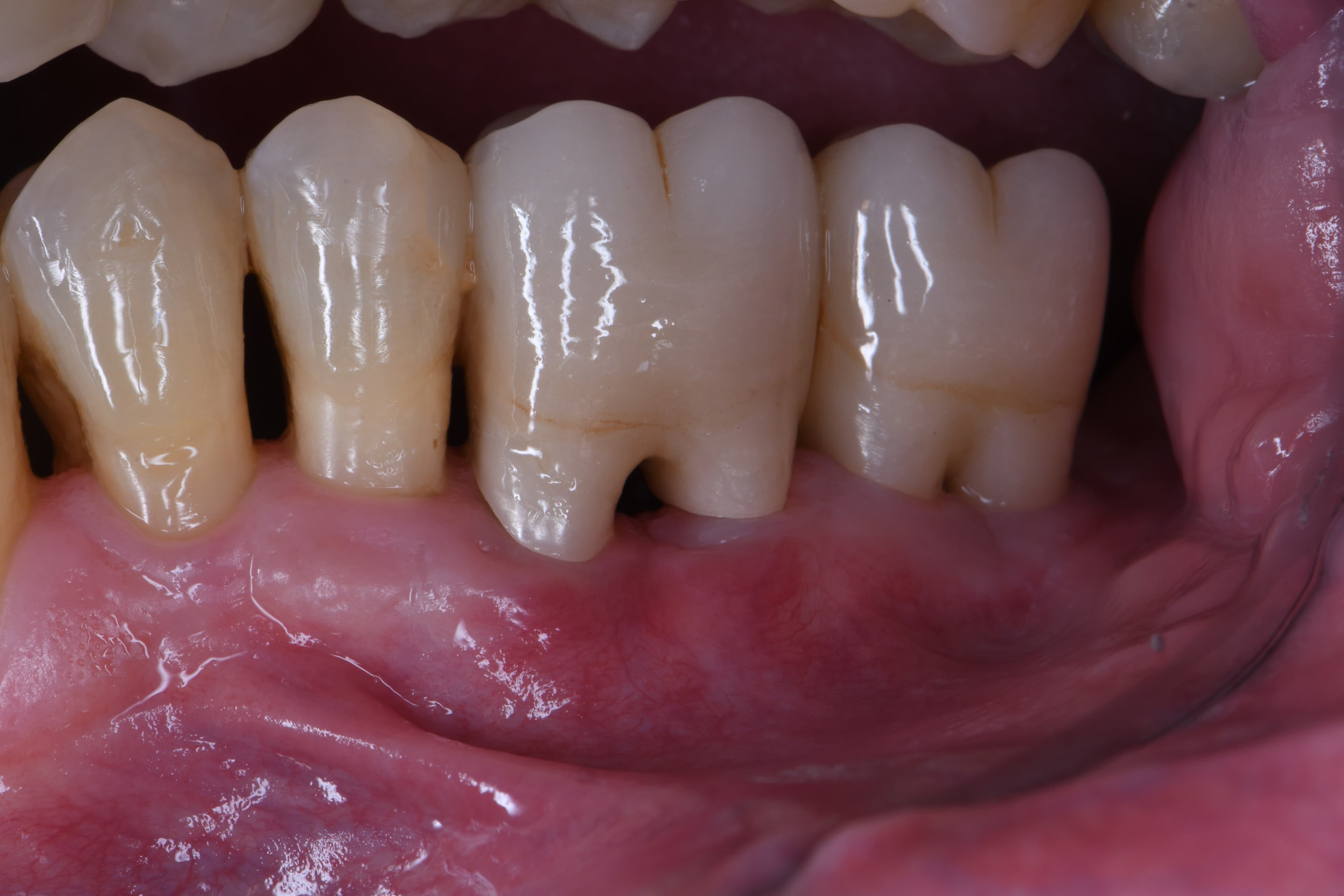
Soluzioni Riabilitative dei Pazienti di Stadio 4
Gestione del paziente parodontale complesso di Stadio 4: trauma occlusale, splint, trattamento ortodontico nel paziente parodontale e strategie terapeutiche parodonto-implantari.
I moduli fanno parte del corso annuale
Ogni modulo è estratto dal programma del corso annuale PerioGP 2026 e può essere seguito autonomamente. Se stai valutando il percorso completo, contattaci per ricevere informazioni sui posti disponibili e le condizioni riservate.
